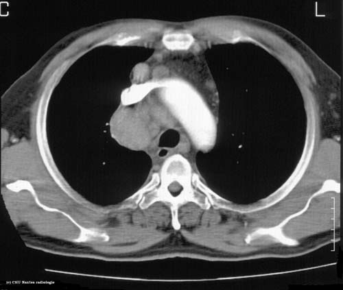
Syndrome médiastinal
légendes
niveau de la coupe
TDM