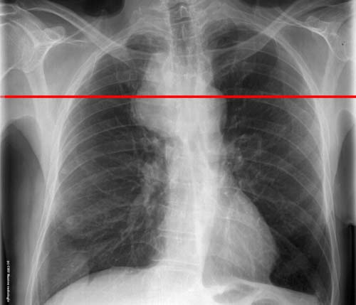
Syndrome médiastinal : niveau de la coupe TDM