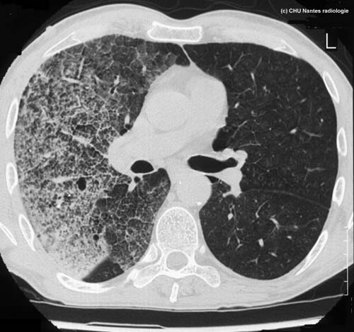
Syndrome interstitiel en rayon de miel : coupe TDM
légendes
niveau de la coupe
TDM