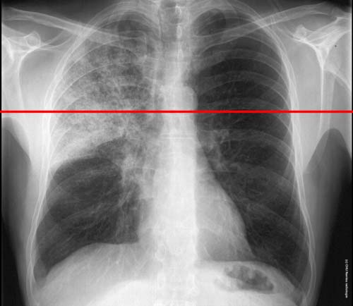
Syndrome interstitiel en rayon de miel : 

niveau de la coupe TDM