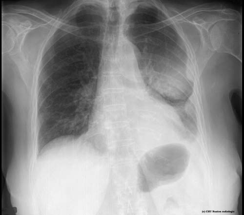
Masses pleurales
légendes