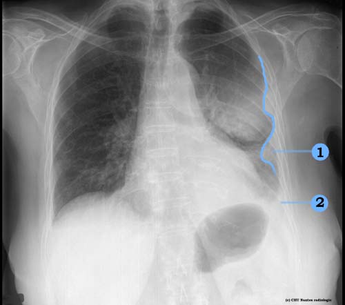
Masses pleurales

 

 

1 . masses pleurales : opacité périphérique s'appuyant sur la paroi thoracique avec un raccordement en pente douce et à limite interne nette

2 . épanchement pleural gauche associé