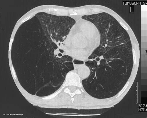
Emphysème pulmonaire sévère
légendes