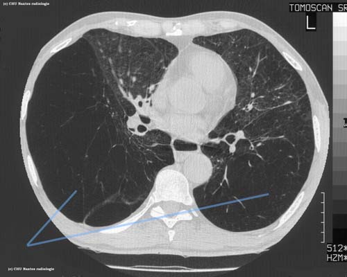
Emphysème pulmonaire sévère

coupe TDM en fenêtre parenchymateuse

 

 

emphysème sévère avec quasi-destruction du parenchyme pulmonaire ( aspect dit de poumon évanescent )