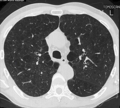
Emphysème pulmonaire débutant
légendes