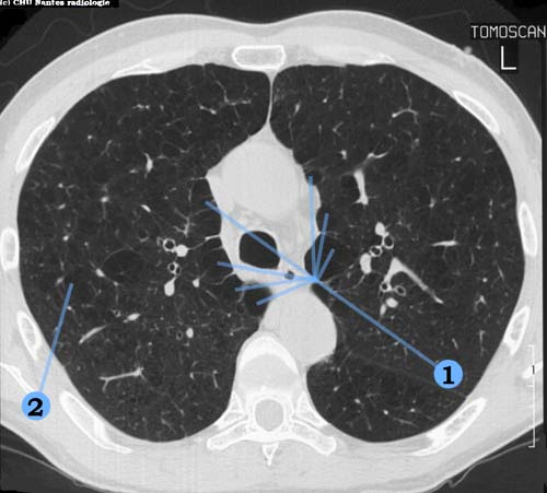
Emphysème pulmonaire débutant

coupe TDM en fenêtre parenchymateuse

 

 

1 . aspect hérissé de l'interface plèvre-poumon lié à l'existence de bulles d'emphysème sous pleurales

2 . emphysème pulmonaire avec de multiples zones d'hyperclartés parenchymateuses bilatérales ( aériques ) disséminées