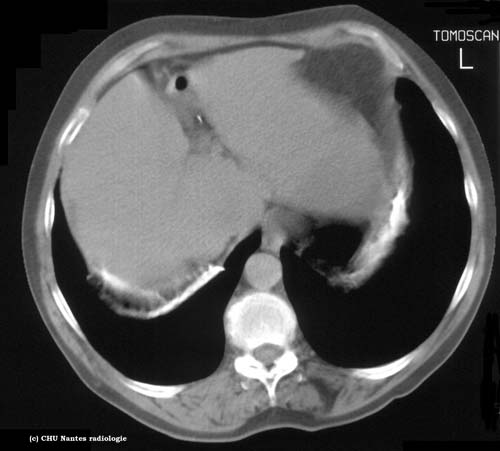
Calcifications pleurales coupe
B
légendes
niveau de la coupe
TDM