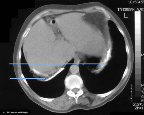
Calcifications pleurales (B)

coupe TDM en fenêtre médiastinale

 

 

 calcifications pleurales des coupoles diaphragmatiques (coupe  tangente aux coupoles )