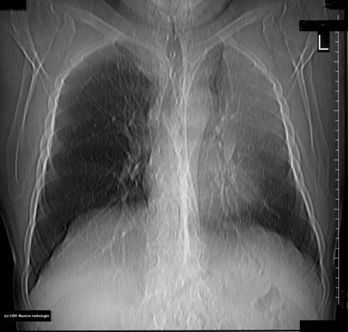
Atélectasie
légendes
coupe
TDM
niveau de la coupe
TDM