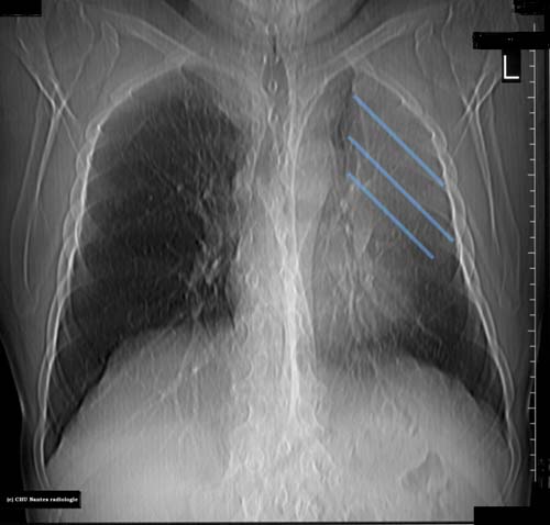
Atélectasie

 

Opacité triangulaire à sommet hilaire et à base pariétale à limite nette avec rétraction pulmonaire sans bronchogramme aérien : atélactasie compléte lobaire supérieure gauche