HÉMATOME SOUS-CAPSULAIRE

LÉGENDES

 

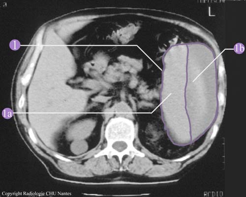
Examen tomodensitométrique sans injection


LÉGENDES:

1.Rate très augmentée de volume.

1a. Rate déformée par une masse hypodense correspondant à un hématome sous-capsulaire.
La capsule de la rate est une fine membrane entourant cette- dernière.

1b. Hématome sous-capsulaire : plage hypodense de sang séparant la rate de sa capsule.


Pour retourner à l'image initiale, cliquez ICI.


Sommaire RATE...