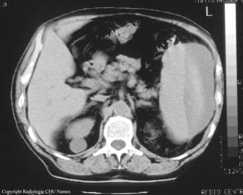
HÉMATOME SOUS-CAPSULAIRE

 

Pour obtenir l'image légendée, cliquez ICI.


Sommaire RATE...