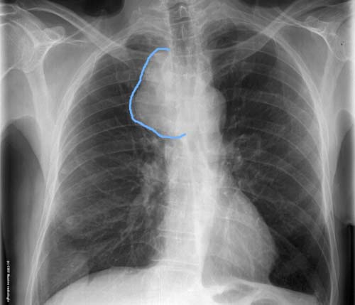
Syndrome médiastinal

 

 

Opacité du médiastin supérieur droit de tonalité hydrique homogène à limite externe nette se raccordant en pente douce avec les bords du médiastin : masse médiastinale refoulant l'arc supérieur droit ( tronc veineux brachiocéphalique et veine cave supérieure )