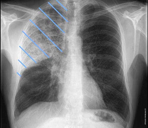
Syndrome interstitiel en rayon de miel

 

 

Syndrome interstitiel en rayon de miel du lobe supérieur droit (lymphagite carcinomateuse)