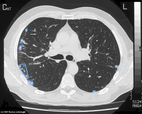
Syndrome interstitiel nodulaire

coupe TDM millimétrique en fenêtre parenchymateuse

 

 

syndrome interstitiel nodulaire avec des nodules de topographie périphérique sous pleurale