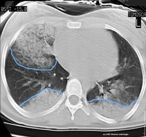
Syndrome alvéolaire

 coupe TDM en fenêtre parenchymateuse

 

 

Opacités aux limites floues avec bronchogramme aérien ( visualisation des clartés bronchiques ) du territoire lobaire moyen droit et des régions déclives des lobes inférieurs: contusions pulmonaires dans le cadre d'un polytraumatisme