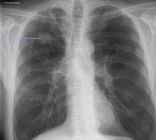
Lésion de type tumeur pulmonaire

 

 

Opacité solide aux contours spiculaires suspecte de tumeur pulmonaire primitive du lobe supérieur droit