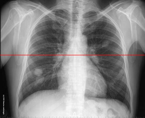
Lésions nodulaires : niveau de la coupe TDM