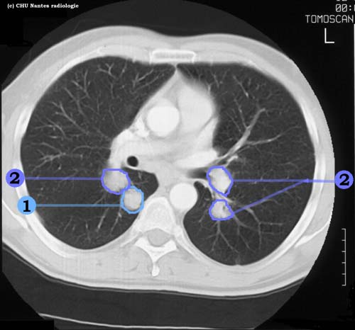
Lésions nodulaires : coupe TDM

 

 

1 . opacités nodulaires hilaires : adénopathies

2 . opacités nodulaires solides bilatérales à contours nets en lâcher de ballons