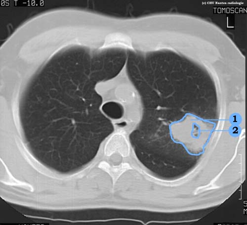
Lésions cavitaires

coupe TDM en fenêtre parenchymateuse

 

 

1 . masse solide à bords épais du lobe supérieur

2 .  centre excavé (caverne)