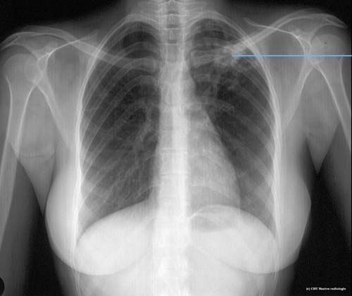
Lésions cavitaires

 

 

Opacités à bords flous , mal limitée et à centre clair aérique : caverne d'origine tuberculeuse ( lésion excavée ) du lobe supérieur gauche