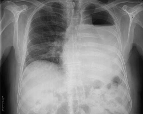
Hydropneumothorax

 

 

Opacité hydrique de l'hémithorax gauche avec un niveau hydro-aérique au 1/3 supérieur de l'hémithorax : épanchement mixte hydro-aériquede la grande cavité pleurale (hydro-pneumothorax )