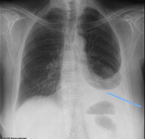
Epanchements liquidiens

 

opacité basale gauche effaçant la coupole diaphragmatique et le cul de sac costo-diaphragmatique externe à limite supérieure arciforme , concave en haut et en dedans : épanchement pleural gauche