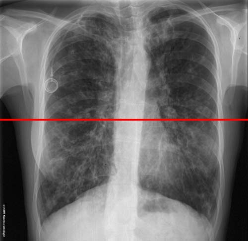
DDB : niveau de la coupe TDM