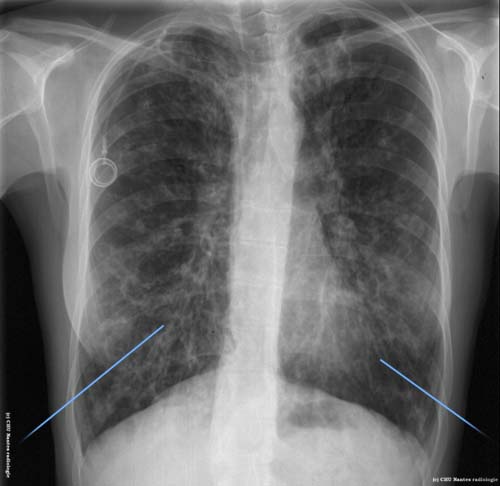
Dilatations des bronches

 

        

 Aspect de poumon sale avec images en rails et en anneaux bilatérales correspondant aux parois           bronchiques épaissies et dilatées : DDB sur mucoviscidose