PNEUMOPÉRITOINE 2

LÉGENDES

 

Examen tomodensitométrique


LÉGENDES:

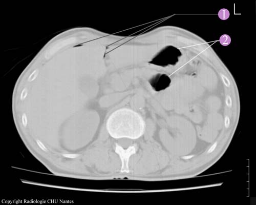
1.Air en avant du foie et dans le sillon du ligament rond.

2. Air dans le colon ( c’est normal ).

Il faut savoir que l’ASP était normal, donc il faut être vigilant.


Pour retourner à l'image initiale, cliquez ICI.


Sommaire PNEUMOPÉRITOINE...